Common Orthodontic Problems

Orthodontic concerns are incredibly common, and very few people are born with perfectly aligned teeth. Issues with bite alignment, often referred to as malocclusion, can affect more than just appearance. They may impact how comfortably you chew, how easily you keep your teeth clean, how clearly you speak, and how confident you feel about your smile.

Bite problems can develop for many reasons. Some are inherited, while others are influenced by childhood habits like thumb sucking, early tooth loss, dental disease, injuries, or underlying medical conditions. No matter the cause, understanding what’s happening with your teeth and jaws is the first step toward meaningful improvement.

At Advanced Orthodontics, Dr. Todd Steinhart takes a thoughtful, individualized approach to diagnosing and treating orthodontic problems. With the right treatment plan, orthodontic care can improve both the function of your bite and the long-term health and appearance of your smile.

Below are some of the most common orthodontic issues we see and how they can affect overall oral health.

Illustration of common orthodontic bite problems at Advanced Orthodontics in Mercer Island, Washington

Upper Front Teeth Protrusion

This bite condition affects both appearance and function. It occurs when the upper front teeth extend too far forward or when the lower jaw does not develop far enough, which can impact chewing, speech, and overall smile balance.

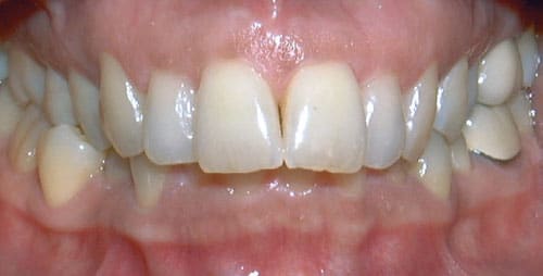
Overbite dental condition treated at Advanced Orthodontics in Mercer Island, Washington

Overbite

An overbite happens when the upper front teeth overlap the lower front teeth more than normal. In more severe cases, the lower teeth may contact the roof of the mouth, increasing the risk of discomfort, wear, and dental damage.

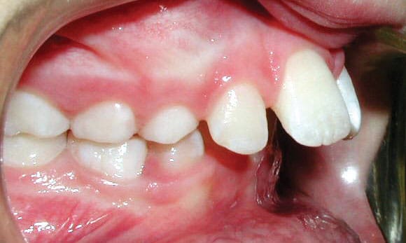
Crossbite dental alignment issue treated at Advanced Orthodontics in Mercer Island, Washington

Crossbite

A crossbite occurs when one or more upper teeth sit inside the lower teeth instead of outside. This misalignment can interfere with proper jaw growth, lead to uneven tooth wear, and place strain on the jaw joints over time.

Open bite orthodontic condition treated at Advanced Orthodontics in Mercer Island, Washington

Openbite

An open bite is present when the upper and lower front teeth do not touch when biting together. This can make chewing less efficient and is often associated with habits such as tongue thrusting or prolonged thumb sucking.

Crowded teeth orthodontic problem treated at Advanced Orthodontics in Mercer Island, Washington

Crowding

Crowding develops when there is not enough space in the jaw for all teeth to erupt properly. With modern orthodontic techniques, crowding can often be corrected through expansion, reducing or eliminating the need for tooth removal.

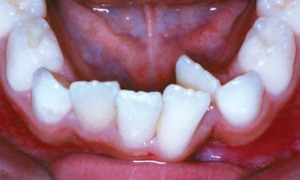
Gaps between teeth orthodontic issue at Advanced Orthodontics in Mercer Island, Washington

Spacing

Spacing issues occur when there are noticeable gaps between teeth. These gaps may be caused by missing teeth, jaw size differences, or tooth size variations, and can affect both aesthetics and bite stability.

Underbite orthodontic problem treated at Advanced Orthodontics in Mercer Island, Washington

Underbite

An underbite occurs when the lower jaw extends forward, causing the lower front teeth to sit in front of the upper teeth. This can affect facial balance, chewing efficiency, and long-term jaw health if left untreated.